Cosmetic Dentistry
Are you embarrassed about the appearance of your teeth and gums?
Dr. Joan Kirschner of Plymouth General Dentistry offers exceptional cosmetic dentistry treatments in Plymouth, NH, that can transform your smile and boost your confidence.
To discuss your aesthetic goals with Dr. Kirschner, schedule a consultation at our office today.
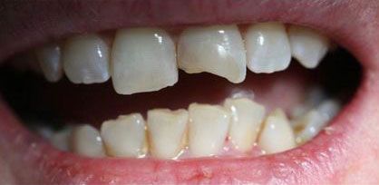
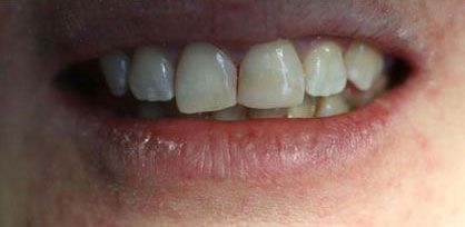
Our Work Speaks for Itself
Patients visit our dentistry office in Plymouth, NH, with all sorts of cosmetic concerns. No matter how compromised your smile is, Dr. Kirschner can work with you to improve both the aesthetics and the health of your teeth. Check out our before and after gallery to see some of Dr. Kirschner's most jaw-dropping transformations.
Take the First Step Schedule a Cosmetic Consultation
Do you hide your teeth when you smile? Are you unhappy with what you see in the mirror? It doesn't have to be that way. Cosmetic dentist Joan Kirschner and her team at Plymouth General Dentistry are ready to care for your dental health and to help you achieve the smile you've always dreamed of.
If you are curious about cosmetic dentistry, we encourage you to schedule a consultation at our office in Plymouth, NH. You can request an appointment right now by contacting us online or by giving us a call.
Call Us: (603) 536-4301

"Skilled, competent, and caring."
My husband and I have been patients of Dr. Kirchner since we moved to this area 11 years ago. We have been very pleased with the services provided by her and her staff. Dr. Kirchner sets the bar high and it works. Everyone in that office is skilled, competent and caring.
View on GoogleI can't say enough good things about DR. K and the entire staff at Plymouth General Dentistry. Extremely professional but they also know all their patients as people and treat them with a personal kindness. I wouod highly recommend this office to anyone!
View on GoogleFinancing Available
We don't want financial concerns to prevent you from receiving the dental care you deserve. Our dentist works with CareCredit® to offer low-interest and interest-free payment plans to qualifying patients.
Am I a Candidate for Cosmetic Dentistry Treatments?
Are in good oral health
Patients must be in good oral health and free of issues such as tooth decay and gum disease. We offer comprehensive services, including general and restorative dentistry options, to help you achieve a healthy foundation for aesthetic treatments.
Have cosmetic concerns
If you have issues that make you self-conscious but do not impact your oral health and function, cosmetic dentistry may be a good option for you. During your initial consultation, your dentist can help determine if your concerns require alternative treatments such as full mouth reconstruction.
Do not use tobacco
Tobacco products are not good for the appearance or health of your smile. They can cause staining and other oral health issues such as tooth decay and tooth loss. It is best to stop before your cosmetic work to keep your smile beautiful for years to come.
Are ready to invest in your smile
Because cosmetic dentistry is considered elective, dental insurance plans don't cover it. Patients should be prepared to pay out of pocket for this form of dentistry. Fortunately, our practice works with CareCredit®, so you can pay for elective dentistry through low-interest and interest-free financing plans.
"Best dentist I've ever been to by far!"
The staff at Plymouth General Dentistry is cordial and competent. Rachael and Marilyn are friendly and efficient. Kara and the other hygienists are very professional and proficient. Dr. Joan is a superb dentist. They all offer great care and awesome recipes.
View on GoogleBest dentist I've Ever been to by far! I've always had a lot of anxiety going to the dentist, from my first visit to Plymouth General Dentistry Dr. K and the staff made me feel so at ease, they go out of their way to make you feel comfortable while your there, giving you a pillow, and headphones to put on to listen to music while your in the chair and checking in with you while working on you to be sure your doing ok. Their general care for their patients truly shows.
View on GoogleOur Cosmetic Services
Teeth Whitening
Achieving a brighter, whiter smile is one of the most common goals among our patients. With excellent at-home teeth whitening treatment options and in-office services that accommodate those with dental sensitivity, Plymouth General Dentistry can help you lighten the color of your teeth by multiple shades. Teeth whitening provides an amazing finishing touch to any of our other treatments but can also work wonders on an already healthy and beautiful smile.
Smile Makeover
If your smile could benefit from a more comprehensive and dramatic transformation, you may be a candidate for a customized smile makeover plan. By artfully combining aesthetic treatments, our Plymouth cosmetic dentist can create the smile of your dreams. Many of our patients achieve rejuvenated yet natural-looking smiles thanks to combinations like crowns, porcelain inlays and onlays, or crowns and teeth whitening.
Dental Crowns
Crowns are tooth-shaped caps that cover natural teeth. While they are usually used to protect teeth that have been damaged by cavities or have undergone root canal treatment, our dentist in Plymouth, NH, can also use crowns for purely cosmetic reasons. If you have imperfect teeth, Dr. Kirschner can place natural-looking crowns over them for a cosmetic transformation.
Dental Implant Restoration
Dental implants are modern dentistry's best solution for missing teeth. Implants replace lost tooth roots. Our dentist coordinates with local oral surgeons who place implants in the jawbone. Once the implants have integrated with the bone, Dr. Kirschner will attach lifelike crowns, bridges, or dentures to the implants, eliminating gaps in your smile and restoring your ability to eat and speak with confidence.
Cosmetic Dentistry FAQs
I have some oral health issues. When can I undergo cosmetic work?
If you have issues like gum disease or tooth decay, they must be treated first. Once your treatment is complete, you can safely undergo cosmetic dentistry treatments. We want to ensure a healthy foundation so your results can last as long as possible. Our cosmetic dentists offer comprehensive dental options to help you qualify for cosmetic treatments.
Do cosmetic dentistry treatments hurt?
We minimize discomfort through the use of local anesthesia and highly customized treatment. Treatments like dental crowns require some alteration of the tooth, so your dentist will thoroughly numb the area to ensure you are completely comfortable. Our whitening treatments are adjusted according to your level of sensitivity. If you experience discomfort or pain at any point, please let your dental team know so we can make adjustments.
Are crowns or porcelain veneers better for covering teeth?
Crowns and veneers can both be used to conceal imperfect teeth. The main difference between the two is that porcelain veneers attach to the front surfaces of teeth, while crowns completely encapsulate teeth. Veneers simply hide damage like chips and cracks, but crowns provide strength and protection to a tooth while also restoring its appearance. While veneers can only be placed on anterior teeth (the teeth visible when you smile), crowns can be placed on any tooth.
How long do cosmetic dentistry treatments take to complete?
This will depend on the procedures you have performed. Teeth whitening can give you results in as little as one appointment at our office in Plymouth, NH. Other procedures like dental crowns will require at least two appointments. During your consultation, we can provide you with a more accurate timeline for your specific treatment and situation.
Do you have more questions about cosmetic dentistry? Are you ready to see if cosmetic dentistry is right for you?
Our Results


"Attention to detail is always on point."
Amazing staff! Attention to detail is always on point and the atmosphere is so calming and inviting (unlike traditional dentist offices). I typically get anxiety going to the dentist but Dr Kirschner and her staff make the visit so relaxed that I can’t wait until the next one!
View on GooglePlymouth General Dentistry. My wife and I have been going to Dr Kirschner for a number of years. She is personable, patient focused and very capable for any dental needs. Her staff is outstanding. Great office with all of the latest technologies.
View on Google










